• График работы:     Пн - Сб: 1000 - 1700,     Вс: Выходной,     Перерыв: 1300 - 1400
  • Курская область, п. Медвенка, ул. 1 Мая, д.1
  • +7 47146 4-11-47, +7 903 870 26 47
  • @mail: andreydent@yandex.ru

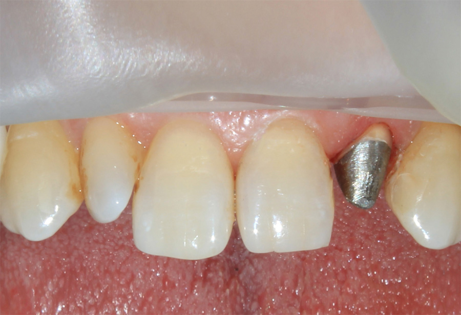
Протезирование

Протезирование в стоматологии — восстановление утраченных зубов с помощью искусственных материалов, позволяющих равномерно распределять жевательную нагрузку и возвращать эстетичность улыбке.

Протезирование зубов на сегодняшний день осуществляется посредством современных конструкций (протезов), позволяющих полностью замещать имеющиеся стоматологические дефекты за максимально короткий промежуток времени. Каким бы значительным не был дефект, наши специалисты помогут избавиться от него и вернуть прежнюю красоту вашим зубам.

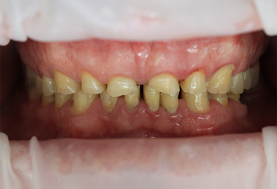
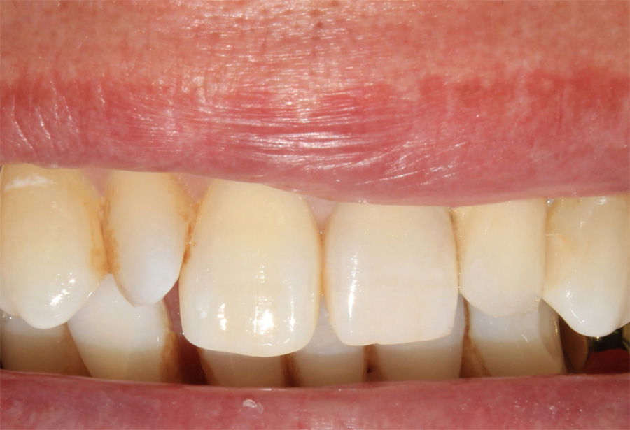
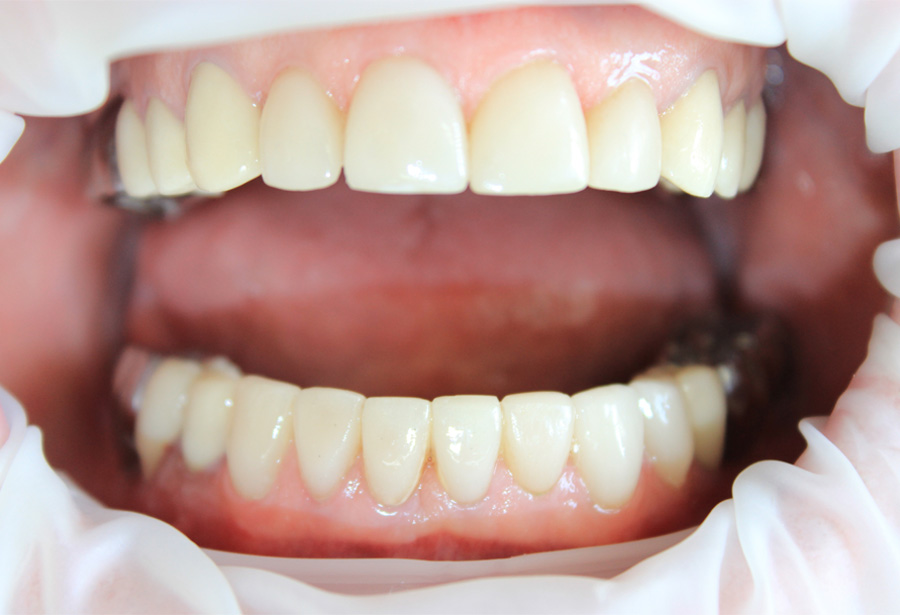
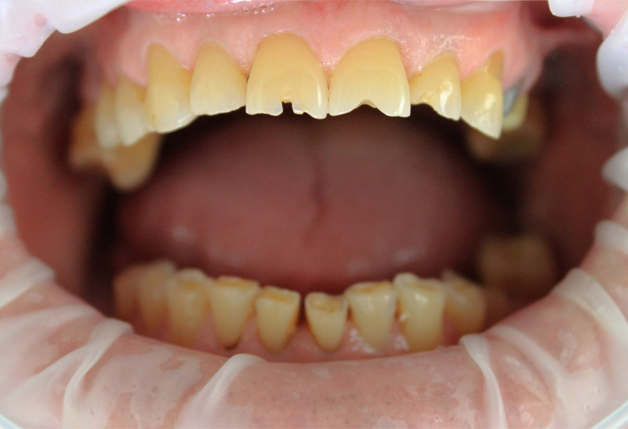
До После