• График работы:     Пн - Сб: 1000 - 1700,     Вс: Выходной,     Перерыв: 1300 - 1400
  • Курская область, п. Медвенка, ул. 1 Мая, д.1
  • +7 47146 4-11-47, +7 903 870 26 47
  • @mail: andreydent@yandex.ru

Терапия

Заболевания зубов и десен относятся к тем состояниям, которые способны серьезно ухудшить качество жизни человека и даже привести к нежелательным последствиям в виде осложнений на желудочно-кишечный тракт и другим нарушениям состояния здоровья.

Для максимального избавления от болезненных ощущений во время процедуры нами используются анестетики последнего поколения, которые тщательно подбираются с учетом возраста и состояния здоровья каждого пациента.

Мы применяем в нашей работе самые современные и эффективные технологии. Для каждого пациента нашей клиники разрабатывается индивидуальный план лечения, что позволяет добиться потрясающих результатов в каждом отдельном случае.

В нашей клинике работают опытные и ответственные специалисты, оказывающие квалифицированную помощь в любой, даже очень сложной ситуации.

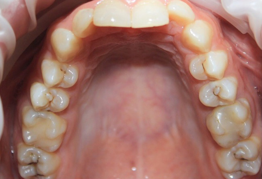
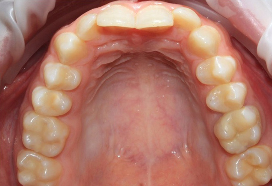
До После